Algemeen
Bij DGC de Vallei beschikken wij over een vaardig chirurgisch team. Daarnaast hebben wij een volledig uitgeruste operatieruimte met alle benodigde bewakingsapparatuur. De meeste operaties voeren wij zelf uit, in speciale gevallen kunnen wij de hulp inroepen van externe specialisten. Als bij een spoedgeval chirurgisch ingrijpen noodzakelijk is, kunnen wij binnen korte tijd over een volledig operatie team beschikken. Dit geldt 24 uur per dag en 7 dagen in de week.
Sterilisatie / castratie
Katten kunnen vanaf een leeftijd van zes maanden geholpen worden, dit geldt zowel voor katers als poezen.
Als uw dier een kater betreft, spreken we van castreren. We verwijderen dan de testikels onder algehele narcose. Vaak zien we ten gevolge van deze ingreep een afname van dominant gedrag en een vermindering van gedragsproblemen als sproeien. Bovendien is het belangrijk dat uw kater buitenshuis niet ongewenst voor nageslacht kan zorgen.
Bij een poes spreken we van steriliseren. Het gezondheidsvoordeel van het steriliseren is een verminderde kans op melkkliertumoren en het weggenomen risico op een baarmoederontsteking. Daarnaast wordt de kat niet meer krols en kan zij niet ineens drachtig thuiskomen. Bij de sterilisatie verwijderen we in principe alleen de eierstokken. Dit gebeurt onder algehele narcose via een kleine snede in de buik. De kat moet na de operatie een week rustig aan doen om het herstel van de wond te bevorderen. Het is belangrijk dat de kat niet aan de hechting kan zitten, hiervoor adviseren wij een kraagje of een Medical Pet Shirt.
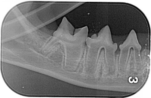
Gebitsbehandelingen
Er zijn ontzettend veel huisdieren die last hebben van hun gebit. Bij dieren ouder dan drie jaar heeft drie van de vier dieren een gebitsprobleem. Dit kan variëren van ontstoken tandvlees en tandplaque tot wortelontstekingen en aantasting van de gebitselementen.
Het is soms moeilijk voor een eigenaar om in te schatten of een dier last heeft van het gebit. Vaak eten de dieren zonder zichtbare problemen en valt er niet veel afwijkends op in het gedrag. Een onaangename geur uit de mond en veel schuren met de snuit zijn uitingen waar eigenaren wel mee naar de dierenarts gaan. Daarnaast wordt bij de jaarlijkse gezondheidscontrole uw dier altijd in de mond gekeken door de dierenarts. De conditie van het gebit zal met u besproken worden en indien nodig maken we een behandelplan.
Vaak begint zo’n behandelplan met het grondig reinigen van het gebit. Dit moet onder narcose gebeuren zodat wij ook onder het tandvlees kunnen reinigen. Als alles schoon is hebben wij goed zicht op alle elementen en checken wij de aansluiting van het tandvlees op de tanden en kiezen. Tegenwoordig hebben we op de kliniek de beschikking over dentale röntgen. Hierdoor kunnen we in een eerder stadium aandoeningen aan het gebit ontdekken en verhelpen. Onze tandheelkundige dierenarts heeft zich toegelegd op dit deelgebied en volgt regelmatig nascholingen. Als het noodzakelijk is kunnen wij ernstig aangetaste elementen direct trekken.
Als alles schoon is en alle elementen geïnspecteerd zijn, polijsten wij het gebit om de ontwikkeling van tandplaque en tandsteen in de toekomst te vertragen.
Als we uw dier weer mee naar huis geven, bespreken we met u wat voor voorzorgsmaatregelen u kunt nemen om de nieuwe gebitsproblemen te voorkomen. Hierbij gaat er niets boven tanden poetsen, maar u kunt ook denken aan voer of een toevoeging aan het drinkwater als ondersteuning.

Spoed
Wij zijn altijd beschikbaar voor de behandeling van spoedgevallen. Soms zal dit betekenen dat uw dier met spoed een operatie moet ondergaan. Dit kan variëren van het hechten van een huidverwonding, tot een buikoperatie om bijvoorbeeld een keizersnede uit te voeren.
We kunnen op elk gewenst moment een geroutineerd team van medewerkers oproepen om een spoedoperatie zo goed mogelijk te laten verlopen. De meeste spoed patiënten zijn in meer of mindere mate in shock. Dit betekent dat zij ook anders reageren op een narcose. Wij zijn ons daar zeer bewust van en zullen uw dier met alle zorg en aandacht daar zo goed mogelijk bij begeleiden.
Afhankelijk van de ernst van de situatie zal uw kat even bij ons blijven na de operatie totdat hij of zij weer helemaal wakker is en zelfstandig kan lopen. Soms blijven ze enige tijd aan het infuus in de opname om extra zorg en verpleging te krijgen.
Als uw twijfelt over de conditie van uw dier of er is sprake van een spoedsituatie, neemt u dan altijd telefonisch contact met ons op via 033 - 286 32 76. Buiten de reguliere openingstijden wordt u via een bandje doorverbonden met de dienstdoende dierenarts om te overleggen en een afspraak te maken voor een spoedbehandeling op de praktijk.